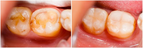
Composite Fillings

Composite fillings treat cavities to protect teeth and restore oral health. There are various types of fillings that dentists can use to fill a cavity. However, composite fillings are the most common type due to their natural appearance and good durability.
If you have a tooth that requires a filling, composite fillings may be a good option. Composite fillings are available at Happy Smiles Family Dentistry in Schaumburg and the surrounding area. Call us today at (847) 524-0488 to learn more about our services or schedule an appointment.
Understanding Composite Fillings
Composite fillings consist of a tooth-colored resin composed of plastic and some additives. In some cases, there are also glass particles mixed with the plastic. Although mostly used for treating cavities, a composite filling can also improve a tooth’s cosmetic appearance, such as reshaping a tooth.
Other common types of fillings include gold, porcelain, and silver amalgam. Compared to composite fillings, metal fillings are significantly more visible in the mouth. While porcelain fillings are closer to the surrounding teeth in color, they can be quite costly. For many patients, composite fillings offer a balance of aesthetics, affordability, and durability.
Benefits of Composite Tooth Fillings
If a patient has tooth decay, a composite filling may be the solution. According to one National Institute of Health survey, 92% of adults between ages 20 and 64 have tooth decay. There are various benefits of composite fillings, including:
- Fix Decay and Other Issues: Composite fillings primarily fix tooth decay. They can also fix cracks, chips, and tooth wear. This helps to restore a tooth’s function and health.
- Subtle Aesthetics: Compared to other filling types, composite fillings are very subtle. Our dentist can color match the filling to the surrounding teeth. Many patients prefer this natural appearance.
- Strong Bonding to Teeth: Composite fillings bond well with the treated tooth. It can help to strengthen and support the remaining natural tooth. This filling provides support to prevent or slow the worsening of further tooth damage.
- Minimal Drilling Needed: Relative to other filling types, especially silver amalgam, composite filling requires little drilling. These fillings can fit into small cavity spaces. This results in patients keeping more of their natural teeth.
Other Types of Fillings
Although composite fillings are the most popular type of filling, they are not always the right choice for every patient. Some people may have a specific aesthetic preference for a different kind of filling. For example, although tooth-colored fillings are more subtle, some people prefer the appearance of gold fillings. Additionally, gold and porcelain fillings are more durable than composite fillings. They may last 10 or more years longer than composite filling material. Silver amalgam may also last about five years longer than a composite filling.
According to the American Dental Association, composite fillings can also take longer to place than other types of fillings. Compared to silver amalgam, a composite filling can be more expensive. However, this may depend on insurance coverage. However, it is less costly than gold and porcelain filling. Patients should discuss the benefits and drawbacks of each option with our dentist before making a decision.
When a Filling Is Necessary
Various situations may call for a filling. The most common is tooth decay. Typically, a filling is the least invasive procedure for correcting decay. People who have teeth with cracks, chips, and wear can also choose to have a filling to restore teeth. In some cases, a filling can also fill small holes formed for reasons other than tooth decay. Dentists sometimes offer procedures to correct discoloration or misshapen teeth for cosmetic-only purposes.
Patients of all ages can have situations that require a filling. However, these situations are less common for children who do not yet have their permanent teeth. According to the previously mentioned National Institute of Health survey, 85% of adults have at least one filling before 34. The probability of needing a filling can also vary significantly depending on oral hygiene practices.
Questions Answered on This Page
Q. What are composite fillings?
Q. What are the benefits of composite fillings?
Q. What are some potential disadvantages of composite fillings?
Q. Who should get tooth fillings?
People Also Ask
Q. How can a person’s diet help with tooth decay?
Q. Why does the dentist use fluoride mouthwash in the cleaning?
Q. Why is preventative care important? How can it save you money?
Q. Beyond regular checkups, what additional procedures might a dentist recommend?
Frequently Asked Questions
Q. What happens during filling placement?
A. Typically, we will number the area before removing any decayed or damaged tooth enamel with a drill or laser. Then, we will clean and dry the area. Our dentist may probe the treatment site to check for any missed decay. Finally, we fill the cavity with the patient’s filling material of choice.
Q. What is the cost of getting a composite filling?
A. Composite fillings are usually more expensive than silver amalgam but less than gold or porcelain. Every insurance plan is different. People should make sure to contact their insurance provider to learn more about composite filling coverage before seeking treatment.
Q. How can I care for my tooth-colored filling?
A. According to WebMD, good dental hygiene practices can help with filling care. Brush at least twice a day for two minutes, floss, and use mouthwash. Also, visit the dentist regularly for checkups and cleanings.
Q. Are there any side effects of getting composite fillings?
A. Patients may experience some sensitivity or discomfort around the treatment area. However, these symptoms are normal and temporary. In rare cases, patients may have an allergic reaction to some filling types; however, this is uncommon with composites.
Q. How do long do composite fillings last?
A. Composite fillings typically last an average of seven years. However, a study from the Journal of Dental Research found that they can last for 10 or more years if the fillings are smaller and the patient has good oral health. Patients who take good care of their oral health and hygiene can lengthen their composite filling lifespan.
